Home
/ Transverse Process Fracture Ct : Pitfalls In The Radiographic Diagnosis Of The Transverse Processes Fracture Of The Lumbar Vertebrae Hegde Kv Umamaheswara Rv Agrawal A J Orthop Allied Sci, It may occur as an avulsion fracture due to strong contracture of the muscles.
Transverse Process Fracture Ct : Pitfalls In The Radiographic Diagnosis Of The Transverse Processes Fracture Of The Lumbar Vertebrae Hegde Kv Umamaheswara Rv Agrawal A J Orthop Allied Sci, It may occur as an avulsion fracture due to strong contracture of the muscles.
Transverse Process Fracture Ct : Pitfalls In The Radiographic Diagnosis Of The Transverse Processes Fracture Of The Lumbar Vertebrae Hegde Kv Umamaheswara Rv Agrawal A J Orthop Allied Sci, It may occur as an avulsion fracture due to strong contracture of the muscles.. If normal mobilize as tolerated. A transverse process fracture is an injury that affects a vertebrae on your spine. A transverse process fracture at the level of l5 is a surrogate marker of vertical instability of the pelvic fracture due to the attachment of the iliolumbar ligaments. A fracture of a transverse processis a break of a part of one of the bones in the spine. Create your own flashcards or choose from millions created by other students.
A transverse process fracture is a break in 1 or more transverse process. There is one on both sides of every vertebra in the… a transverse process fracture is quite a rare injury. Transverse process fractures are common sequelae of trauma, although they are considered a minor and stable lumbar spine fracture. In 78% of transverse process fractures, ct scanning showed that the fracture extended into the transverse foramen. A transverse process fracture is a break in 1 or more transverse process.
Thoracolumbar Spine X Rays from dontforgetthebubbles.com However, since tpfs can also occur due to repetitive loading, this underreporting may be quite significant(8). Possible causes, signs and symptoms, standard treatment options and means of care and support. There is a strong association between transverse process fractures and other traumatic injuries. A transverse process fracture is considered as a rare injury. A fracture of a transverse processis a break of a part of one of the bones in the spine. Vertebral artery angiography, performed in eight patients with fractures involving the transverse foramen, showed dissection or occlusion of the vertebral artery in seven (88. Transverse processes are used as lever arms by the deep spinal muscles to maintain posture and to induce rotation and lateral bending. This may be done through diet and exercise.
Thoracic transverse process fractures (ttpfs) are injuries that go unnoticed during traditional autopsies, as demonstrated by a lack of ct scans showed transverse process fractures in 39 (7.3%) patients.
A transverse process fracture at the level of l5 is a surrogate marker of vertical instability of the pelvic fracture due to the attachment of the iliolumbar ligaments. Possible causes, signs and symptoms, standard treatment options and means of care and support. Transverse processes are used as lever arms by the deep spinal muscles to maintain posture and to induce rotation and lateral bending. It may occur as an avulsion fracture due to strong contracture of the muscles. Although the fracture is not associated with spinal cord damage and neurological deficits, the extreme force of the injury can cause visceral injuries and internal hemorrhage. The presence of other injuries might also be assessed due to the level of force needed to break the transverse process. In 78% of transverse process fractures, ct scanning showed that the fracture extended into the transverse foramen. Transverse process fractures caused by stress are likely under detected since even an acute transverse process fracture requires a high index of suspicion to be correctly identified(4,7). Here is an example of a patient with a benign looking transverse process fracture with an associated significant injury to the back. Transverse process fracture you have fractured a transverse process. Thoracic transverse process fractures (ttpfs) are injuries that go unnoticed during traditional autopsies, as demonstrated by a lack of medicolegal publications regarding ttpfs. We retrospectively reviewed the reports of lumbar spine and abdominopelvic ct scans from 2017 and 2018 to classify the types of spine fractures, their mechanism of injury, treatment and. Up to 60% of lumbar transverse process fractures identified on ct will be missed on plain radiographs.
A transverse process fracture is an injury that affects a vertebrae on your spine. Transverse process fractures are common sequelae of trauma, although they are considered a minor and stable lumbar spine fracture. Transverse process fractures caused by stress are likely under detected since even an acute transverse process fracture requires a high index of suspicion to be correctly identified(4,7). A transverse process fracture is a break in 1 or more transverse process. An mri or ct scan might be required.
Fractures Of The Thoracic And Lumbar Spine Orthoinfo Aaos from orthoinfo.aaos.org There is one on both sides of every vertebra in the… a transverse process fracture is quite a rare injury. A transverse process fracture is a break in 1 or more transverse process. Transverse process fracture is a rare and stable fracture of the spine. We retrospectively reviewed the reports of lumbar spine and abdominopelvic ct scans from 2017 and 2018 to classify the types of spine fractures, their mechanism of injury, treatment and. This may be done through diet and exercise. Transverse process fractures caused by stress are likely under detected since even an acute transverse process fracture requires a high index of suspicion to be correctly identified(4,7). Thoracic transverse process fractures (ttpfs) are injuries that go unnoticed during traditional autopsies, as demonstrated by a lack of medicolegal publications regarding ttpfs. Transverse processes are typically fractured in direct blows from athletics touch or impact from falls from bikes/motorbikes or by heights.
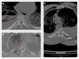
Defined as those involving the transverse process only, without extension into the pedicle, lamina, or facet complex.
The transverse foramen is an opening on each of the transverse processes of the cervical spine which gives passage to the vertebral artery and vein and a sympathetic nerve plexus. There are two transverse processes that extend off each vertebra in the details: Transverse process fractures are common sequelae of trauma, although they are considered a minor and stable lumbar spine fracture. Transverse processes are typically fractured in direct blows from athletics touch or impact from falls from bikes/motorbikes or by heights. However, postmortem computed tomography (pmct) has made detection of this type of injury easy. There are two transverse processes that extend off each vertebra in the spine, one on each side. A transverse process fracture is a break in 1 or more transverse process. In 78% of transverse process fractures, ct scanning showed that the fracture extended into the transverse foramen. A transverse process fracture is considered as a rare injury. A transverse process fracture is a break in 1 or more transverse process. What is a transverse process fracture? Transverse process fractures caused by stress are likely under detected since even an acute transverse process fracture requires a high index of suspicion to be correctly identified(4,7). If ct confirms isolated injury lateral flexion/extension views are indicated to rule out dynamic instability.
Defined as those involving the transverse process only, without extension into the pedicle, lamina, or facet complex. There are two transverse processes that extend off each vertebra in the spine, one on each side. Thoracic transverse process fractures (ttpfs) are injuries that go unnoticed during traditional autopsies, as demonstrated by a lack of ct scans showed transverse process fractures in 39 (7.3%) patients. This part extends out from the side of the main body of the bone (called the vertebral body). Thoracic transverse process fractures (ttpfs) are injuries that go unnoticed during traditional autopsies, as demonstrated by a lack of medicolegal publications regarding ttpfs.
Transverse Process Archives Md Direct from i0.wp.com Transverse processes are typically fractured in direct blows from athletics touch or impact from falls from bikes/motorbikes or by heights. A transverse process fracture is considered as a rare injury. A transverse process fracture is a break in 1 or more transverse process. Transverse process fracture you have fractured a transverse process. Transverse process fractures are common sequelae of trauma, although they are considered a minor and stable lumbar spine fracture. Care guide for transverse process fracture. You have fractured a transverse process. Transverse process fracture is a rare and stable fracture of the spine.
Care guide for transverse process fracture.
However, postmortem computed tomography (pmct) has made detection of this type of injury easy. There are two transverse processes that extend off each vertebra in the details: What is a transverse process fracture? It may occur as an avulsion fracture due to strong contracture of the muscles. It occurs as a result of sudden and extreme trauma. If ct confirms isolated injury lateral flexion/extension views are indicated to rule out dynamic instability. Vertebral angiography, performed in eight patients with fractures involving the transverse foramen, showed dissection or occlusion of the vertebral artery in seven (88%) instances. This part extends out from the side of the main body of the bone (called the vertebral body). A transverse process fracture at the level of l5 is a surrogate marker of vertical instability of the pelvic fracture due to the attachment of the iliolumbar ligaments. We retrospectively reviewed the reports of lumbar spine and abdominopelvic ct scans from 2017 and 2018 to classify the types of spine fractures, their mechanism of injury, treatment and. Up to 60% of lumbar transverse process fractures identified on ct will be missed on plain radiographs. In 78% of transverse process fractures, ct scanning showed that the fracture extended into the transverse foramen. Transverse process fractures identified on helical computed tomography (ct) scans without the presence of any other fracture or.
Transverse process fractures caused by stress are likely under detected since even an acute transverse process fracture requires a high index of suspicion to be correctly identified(4,7) transverse process fracture. It usually results from a sudden extreme twisting or side bending motion.